我们都知道结核病是一种严重危害人类健康的慢性传染性疾病。那么结核病流行现状如何呢?我们国家是结核病高负担国家,结核病疫情形势依然严峻,最新世卫组织《2023年全球结核病报告》年报显示,我国2022年新发结核病病例数74.8万,低于印度(27%)和印度尼西亚(10%)位居世界排名第三。


结核病是由结核分枝杆菌引起的传染病,可侵及许多脏器,如:肺结核、淋巴结结核、肠结核、肾结核、子宫内膜结核、输卵管结核、皮肤结核、骨关节结核、脑膜结核等,其中肺结核最为常见。
一.那么结核病的确诊包括哪些检查方法?
临床上主要根据病史、临床表现、影像以及重要的实验室检查综合判断,主要包括以下几点:
1.痰液、肺泡灌洗液、胸腹水、脓液、脑脊液等标本,通过离心沉淀后涂片查找抗酸染色,经菌种鉴定为结核分枝杆菌。
2.痰液、肺泡灌洗液、脓液、胸腹水、脑脊液等标本,通过结核菌培养或TB-PCR检测阳性。


3.结核病原学阴性,肺部影像出现典型表现:空洞、纤维条索、胸腔积液、PPD强阳性,抗结核治疗有效,排除其它疾病考虑诊断结核病。
4.菌阴肺结核、肺外结核等一些疑难结核病,还有一个是重要途径,那就是通过病理学检查明确结核病诊断。
二.病理学检查是如何诊断结核病?
结核病病理学诊断方法主要包括常规病理学诊断、特殊染色及分子病理学诊断三大类。




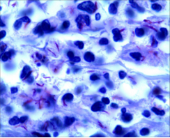
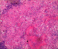
1.常规病理诊断(病理组织形态特征):结核病是一种特殊类型的慢性肉芽肿炎,基本病理变化:渗出、增生、坏死,典型病变形成结核结节,结节中心为干酪样坏死,坏死周边围绕类上皮细胞、散在多少不等的
Langhans巨细胞,结节外侧为淋巴细胞及少量反应性增生纤维母细胞。
2.抗酸染色在结核病病理学诊断具有重要作用
一般情况病理石蜡组织切片,结核结节的坏死区中心或坏死区与上皮样肉芽肿交界处较容易查见抗酸菌,抗酸菌阳性对结核病诊断有重要的提示作用。
3.随着分子病理学检测技术的发展,其在结核病的诊断中占据着越发重要的地位。由于其快捷、高敏感性和特异性强等特征,可有效提高病理标本中MTB检出率,对结核病的诊断及鉴别诊断具有重要意义,常用实时荧光定量PCR、高分辨熔解曲线技术等分子技术协助结核病的诊断。

病理石蜡组织切片形态学查见肉芽肿病变、坏死等,就是病理形态学考虑结核病时,一般需要石蜡组织再切片加做结核分子检测(TB-PCR)协助诊断,若分子病理检测阳性是诊断结核病的有力证据。
总之,结核病诊断比较困难,一般依据病史、临床表现、实验室检查以及诊断性抗结核治疗来综合诊断,尤其菌阴结核、肺外结核等疑难病例需要通过病理学检查协助诊断,病理形态学+抗酸染色+分子检测是病理学诊断结核病的金标准。